What Is a Subdural Haematoma?
A subdural haematoma is a collection of blood that builds up under the outer covering of the brain, called the dura. It is a common type of brain bleed that can result from a head injury.
There are two main types:
Acute – the bleeding happens quickly and is recent.
Chronic – the blood has been present for a longer time, sometimes weeks or months.
This section focuses on acute subdural haematomas.
सबड्युरल हेमेटोमा भनेको के हो?
सबड्युरल हेमेटोमा भनेको मस्तिष्कको बाहिरी आवरण मुनि जम्मा हुने रगतको संग्रह हो, जसलाई ड्युरा भनिन्छ। यो एक सामान्य प्रकारको मस्तिष्क रक्तस्राव हो जुन टाउकोमा चोटपटक लागेर हुन सक्छ।
दुई मुख्य प्रकारहरू छन्:
तीव्र - रक्तस्राव चाँडै हुन्छ र हालसालै हुन्छ।
दीर्घकालीन - रगत लामो समयदेखि, कहिलेकाहीँ हप्ता वा महिनादेखि उपस्थित छ।
यो खण्ड तीव्र सबड्युरल हेमेटोमामा केन्द्रित छ।

What Causes an Acute Subdural Haematoma?
Acute subdural haematomas usually occur after a severe impact to the head, such as a fall, accident, or trauma. The impact can rupture blood vessels on the brain’s surface or cause bruising that leads to bleeding. About one third of people with serious head injuries develop this type of bleed.
A subacute subdural haematoma is similar but develops more slowly.
एक्युट सबड्युरल हेमेटोमा के कारणले हुन्छ?
एक्युट सबड्युरल हेमेटोमा सामान्यतया टाउकोमा गम्भीर प्रहार पछि हुन्छ, जस्तै लड्नु, दुर्घटना, वा आघात। प्रहारले मस्तिष्कको सतहमा रक्तनलीहरू फुट्न सक्छ वा चोट लाग्न सक्छ जसले गर्दा रक्तस्राव हुन्छ। टाउकोमा गम्भीर चोट लागेका लगभग एक तिहाइ मानिसहरूमा यस प्रकारको रक्तस्राव हुन्छ।
सबएक्युट सबड्युरल हेमेटोमा समान हुन्छ तर बिस्तारै विकसित हुन्छ।
How Is It Diagnosed?
Symptoms can vary: some people may feel well, while others may become confused, agitated, or lose consciousness.
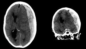
If a subdural haematoma is suspected, doctors at NNRC will perform a CT scan of the head to look for blood and determine the severity of the bleed.
यो कसरी निदान गरिन्छ?
लक्षणहरू फरक हुन सक्छन्: केही व्यक्तिहरूलाई राम्रो महसुस हुन सक्छ, जबकि अरूहरू भ्रमित हुन सक्छन्, उत्तेजित हुन सक्छन्, वा चेतना गुमाउन सक्छन्।
यदि सबड्युरल हेमेटोमाको शंका छ भने, NNRC का डाक्टरहरूले रगत हेर्न र रक्तस्रावको गम्भीरता निर्धारण गर्न टाउकोको CT स्क्यान गर्नेछन्।
How Is an Acute Subdural Haematoma Treated?
Treatment for an acute subdural haematoma focuses first on supporting the patient and keeping vital functions stable. Some patients may need close monitoring in the intensive care unit (ICU) or a high dependency unit (HDU).
Not all subdural haematomas need surgery. Smaller bleeds can sometimes be observed safely, while larger bleedsusually require an operation called a craniotomy.
During a craniotomy:
The patient is put to sleep under general anaesthesia.
The scalp is shaved, and a cut is made.
A section of the skull is temporarily removed to access the brain.
The surgeon removes the collected blood and stops any active bleeding.
तीव्र सबड्युरल हेमेटोमाको उपचार कसरी गरिन्छ?
तीव्र सबड्युरल हेमेटोमाको उपचार पहिले बिरामीलाई सहयोग गर्ने र महत्त्वपूर्ण कार्यहरू स्थिर राख्नमा केन्द्रित हुन्छ। केही बिरामीहरूलाई सघन हेरचाह इकाई (ICU) वा उच्च निर्भरता इकाई (HDU) मा नजिकबाट निगरानीको आवश्यकता पर्न सक्छ।
सबै सबड्युरल हेमेटोमाहरूलाई शल्यक्रियाको आवश्यकता पर्दैन। कहिलेकाहीं सानो रक्तस्राव सुरक्षित रूपमा अवलोकन गर्न सकिन्छ, जबकि ठूलो रक्तस्रावलाई सामान्यतया क्रेनियोटोमी भनिने अपरेशन आवश्यक पर्दछ।
क्रेनियोटोमीको समयमा:
बिरामीलाई सामान्य एनेस्थेसिया अन्तर्गत सुताइन्छ।
टाउकोको छाला खौरिन्छ, र काटिन्छ।
मस्तिष्कमा पहुँच गर्न खोपडीको एक भाग अस्थायी रूपमा हटाइन्छ।
सर्जनले सङ्कलन गरिएको रगत हटाउँछ र कुनै पनि सक्रिय रक्तस्राव रोक्छ।
What is the outlook?
A subdural haematoma is a serious condition, and recovery can vary widely. Early treatment and proper rehabilitationwith doctors, nurses and physiotherapists can improve outcomes.
Some patients may experience:
Weakness on one side of the body
Seizures
Speech difficulties
These symptoms may improve over time with rehabilitation and medication.
The risk of complications or lasting brain injury depends on:
How severe the bleed is
How ill the patient is before surgery
Some patients may be too unwell for surgery by the time they arrive at the hospital.
At NNRC, patients are closely monitored in the ICU or HDU when necessary, and the team is experienced in managing potential complications to give each patient the best possible care.
सम्भावना के छ?
सबड्युरल हेमेटोमा एक गम्भीर अवस्था हो, र निको हुनु व्यापक रूपमा फरक हुन सक्छ। डाक्टर, नर्स र फिजियोथेरापिस्टहरूसँग प्रारम्भिक उपचार र उचित पुनर्वासले परिणामहरू सुधार गर्न सक्छ।
केही बिरामीहरूले अनुभव गर्न सक्छन्:
शरीरको एक छेउमा कमजोरी
चक्कर
बोलीमा कठिनाइहरू
पुनर्वास र औषधिको साथ यी लक्षणहरू समयसँगै सुधार हुन सक्छन्।
जटिलताहरू वा दिगो मस्तिष्क चोटपटकको जोखिम निम्नमा निर्भर गर्दछ:
रक्तस्राव कति गम्भीर छ
शल्यक्रिया अघि बिरामी कति बिरामी छ
केही बिरामीहरू अस्पताल आइपुग्दा शल्यक्रियाको लागि धेरै अस्वस्थ हुन सक्छन्।
NNRC मा, आवश्यक पर्दा बिरामीहरूलाई ICU वा HDU मा नजिकबाट निगरानी गरिन्छ, र टोली प्रत्येक बिरामीलाई उत्तम सम्भावित हेरचाह दिन सम्भावित जटिलताहरू व्यवस्थापन गर्न अनुभवी छ।