What Is a Brain Tumour?
A tumour is an abnormal growth of cells in the body. Not all tumours are cancerous. Some grow slowly and may be non-cancerous (benign), while others are cancerous (malignant). Tumours are named based on the type of cells they are made from.
Brain tumours are broadly divided into two main types:
Primary brain tumours – these start in the brain and are made from brain cells
Secondary (metastatic) brain tumours – these spread to the brain from cancers elsewhere in the body, such as the breast or lungs
There are many different types of brain tumours, and treatment depends on the exact diagnosis.

What Causes Brain Tumours?
The cause of most brain tumours is not fully understood. Some tumours are more common in:
Children or adults
Men or women
Certain families with inherited conditions
Smoking increases the risk of several cancers and may be linked to some secondary brain tumours.
How is a Brain Tumour diagnosed?
Symptoms vary depending on the size and location of the tumour. Some tumours cause no symptoms and are found by chance during scans done for other reasons.
Possible symptoms include:
Weakness or numbness
Speech or vision problems
Seizures
Headaches, nausea, or vomiting
Drowsiness or changes in consciousness
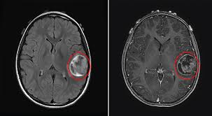
Brain tumours are usually detected using brain imaging, such as a CT scan or MRI scan. MRI scans often provide more detailed information and help the neurosurgical team at NNRC plan further treatment.
How Are Brain Tumours Treated?
There are many treatment options for brain tumours. The treatment recommended depends on:
The type of tumour
Its size and location
Whether it is growing
The patient’s overall health and wishes
Some brain tumours grow very slowly and may never cause problems. These can sometimes be monitored with regular scans. Other tumours require active treatment.
Common treatment options include:
Biopsy
A biopsy involves taking a small sample of the tumour so it can be examined under a microscope. This helps doctors identify the exact tumour type and plan further treatment.
A small hole is made in the skull, and a needle is carefully guided into the tumour to remove a sample. Computer guidance systems may be used to ensure accuracy.
Craniotomy (Surgery)
A craniotomy is an operation where a section of the skull is temporarily removed to allow access to the brain.
During surgery:
Sometimes the entire tumour can be removed
In other cases, only part of the tumour is removed to reduce pressure and symptoms
In selected cases, an awake craniotomy may be performed. This allows the surgical team to monitor speech or movement during the operation when tumours are close to important brain areas.
Radiotherapy
Radiotherapy uses targeted radiation to destroy tumour cells. The type and duration of treatment depend on the tumour.
Radiotherapy may involve:
Treating the whole brain
Treating a specific area using focused techniques such as Gamma Knife
Chemotherapy
Chemotherapy uses medications to target tumour cells. These drugs may be taken as tablets or given through a drip.
Chemotherapy is not suitable for all brain tumours. If appropriate, the oncology team will explain the treatment in detail.
What is the outlook?
The outlook varies widely and depends on:
The type of tumour
How aggressive it is
What treatments are available
The medical team at NNRC will discuss individual prognosis and treatment goals with patients and families.
Patients are supported by a multidisciplinary team, including specialist doctors, nurses, and oncology services, to provide care and guidance throughout treatment.
An extradural haematoma is a collection of blood that forms between the skull and the outer covering of the brain, called the dura. This space normally does not exist, but bleeding after a head injury can cause it to open and fill with blood.