What Is a Chronic Subdural Haematoma?
A chronic subdural haematoma is a collection of blood that builds up slowly under the outer covering of the brain, called the dura. Unlike acute bleeds, chronic subdural haematomas develop gradually over weeks or months and often follow a minor head injury.
This type of bleed is more common in:
Older adults
People taking blood-thinning medications
Those with certain medical conditions
People who drink alcohol excessively
It happens because the blood vessels connecting the brain to the skull can become fragile as the brain naturally shrinks with age.

What Causes a Chronic Subdural Haematoma?
Even a minor bump or fall can lead to a chronic subdural haematoma, especially in the groups mentioned above. The bleeding is slow, so symptoms may not appear right away.
How Is It Diagnosed?
Symptoms can be subtle and develop gradually, making them easy to miss. Patients may notice:
Worsening memory or confusion
Clumsiness or imbalance
Drowsiness or fatigue
Weakness or numbness on one side of the body
Fluctuating alertness
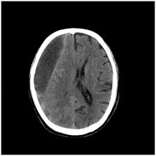
If a chronic subdural is suspected, doctors at NNRC will order a CT scan of the head to check for the bleed and assess its size.
How Is a Chronic Subdural Haematoma Treated?
Treatment depends on how severe the symptoms are.
If a chronic subdural haematoma is small and not causing symptoms, it may be monitored closely and allowed to resolve on its own.
If symptoms are present and the patient is well enough for surgery, an operation is usually recommended to remove the collected blood.
The most common operation is called burr hole surgery:
The patient is put to sleep under general anaesthesia
A small area of hair is shaved and a cut is made in the scalp
One or two small holes (burr holes) are drilled in the skull
The blood is washed out with sterile fluid
A soft drain is often left in place for 1–2 days to prevent further fluid build-up
In rare cases, a larger operation called a craniotomy may be needed to fully remove the blood.
What is the outlook?
A chronic subdural haematoma is a serious condition, but the outlook is often better than for acute subdural haematomas, especially when treated promptly.
Many patients improve well after surgery. However, some patients are older or have other medical conditions, which can make recovery more challenging.
It is possible for a chronic subdural haematoma to recur after treatment. For this reason, patients are carefully monitored after surgery for any signs of recurrence.
At NNRC, patients receive close follow-up and supportive care to achieve the best possible outcome.