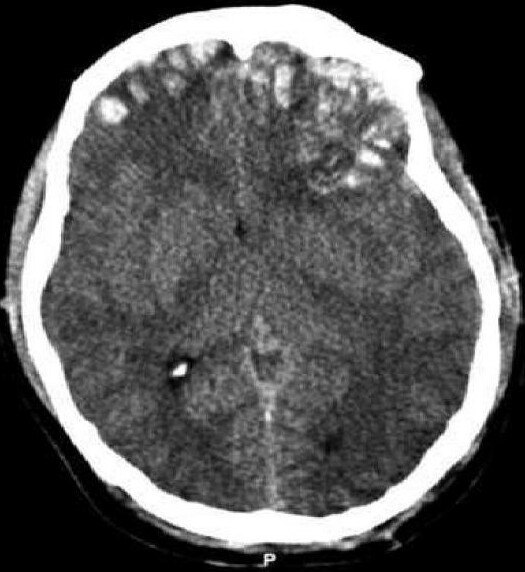
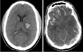
What Is a Cerebral Contusion
A cerebral contusion is a bruise to the brain caused by a head injury. It happens when the brain is damaged either directly at the site of impact or when it moves inside the skull and strikes the opposite side.
Brain bruising can lead to swelling, which increases pressure inside the head. Because the skull is rigid, this pressure can compress the brain and reduce blood and oxygen supply, potentially causing further injury.


What Causes a Cerebral Contusion?
Cerebral contusions usually result from traumatic head injuries, such as:
Road traffic accidents
Falls
Assaults
Sports-related injuries
How Is a Cerebral Contusion Diagnosed?
Symptoms can vary widely and may include:
Headache, nausea, or vomiting
Seizures
Confusion or drowsiness
Loss of consciousness
Symptoms depend on which part of the brain is affected, as different areas control movement, speech, vision, and other functions.
A diagnosis is confirmed using brain imaging, most commonly a CT scan. An MRI scan may be used in selected cases. Anyone who has suffered a significant head injury should seek medical attention.
How Is a Cerebral Contusion Treated?
Many cerebral contusions can be managed without surgery. Patients are closely monitored in the intensive care unit (ICU), high dependency unit (HDU), or ward, depending on the severity of the injury. Treatment focuses on controlling swelling, maintaining oxygen and blood flow to the brain, and managing symptoms.
In more severe cases, patients may need:
Sedation
Intensive monitoring
Multiple medications
Surgery is sometimes required if there is severe swelling or rising pressure inside the skull. This may involve:
Craniotomy – temporarily removing a section of skull to access and treat the brain
Craniectomy – removing part of the skull to relieve pressure
What is the outlook?
Recovery depends on how severe the injury is. Many patients recover fully, especially with mild contusions. Others may experience long-term problems such as seizures or lasting neurological deficits.
Severe cerebral contusions can be life-threatening. Each case is different, and the neurosurgical team at NNRC will guide patients and families about expected recovery and ongoing care.