What Is a Extradural Haematoma?
An extradural haematoma is a collection of blood that forms between the skull and the outer covering of the brain, called the dura. This space normally does not exist, but bleeding after a head injury can cause it to open and fill with blood.

What Causes an Extradural Haematoma?
The most common cause is a head injury with a skull fracture. The injury can damage blood vessels or cause bleeding from the fractured bone itself.
As blood collects between the skull and the dura, pressure builds up inside the head. This pressure can compress the brain and reduce blood flow, making the condition potentially life-threatening if not treated quickly.
What Are The Symptoms
People with an extradural haematoma often:
Lose consciousness at the time of injury
Wake up and appear well for a short period (a “lucid interval”)
Then become unwell as the bleeding increases
Symptoms may include:
Headache
Confusion or agitation
Nausea or vomiting
Speech problems
Drowsiness or loss of consciousness
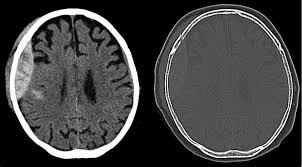
How Is an Extradural Haematoma Diagnosed?
Anyone with a significant head injury should be assessed in hospital. Doctors and nurses will:
Check level of consciousness
Perform a neurological examination
Look for signs of raised pressure inside the head
Blood tests may be done to check blood clotting.
A CT scan of the head is used to confirm the diagnosis. It can show:
The extradural bleed
Any skull fractures
How Is an Extradural Haematoma Treated?
If an extradural haematoma is diagnosed, the first priority is to stabilise the patient. This may include:
Giving fluids and medications through a drip
Supporting breathing if the level of consciousness is reduced
Close monitoring of vital signs
Very small extradural haematomas that are not causing symptoms may be treated with careful observation. However, most extradural haematomas require urgent surgery, especially if they are large or causing symptoms.
The usual operation is a craniotomy, performed under general anaesthesia. During this procedure:
A section of the skull is temporarily removed
The collected blood (clot) is removed
Pressure on the brain is relieved
If there is a skull fracture, small metal plates may be used to stabilise the bone.
Some patients may need care in the intensive care unit (ICU) or high dependency unit (HDU) after surgery for close monitoring.
What is the outlook?
An extradural haematoma is a serious and potentially life-threatening condition. Early diagnosis and rapid treatmentare critical for the best possible outcome.
Recovery varies between patients. Some people recover well, while others may experience long-term effects such as:
Weakness on one side of the body
Seizures
Speech or memory problems
These symptoms may improve over time with rehabilitation and medication.
In general, patients who are more unwell before surgery have a higher risk of lasting brain injury. Sadly, some patients may be too unwell for surgery by the time they reach hospital.
An extradural haematoma is a collection of blood that forms between the skull and the outer covering of the brain, called the dura. This space normally does not exist, but bleeding after a head injury can cause it to open and fill with blood.