What is Hydrocephalus
Hydrocephalus is a condition where cerebrospinal fluid (CSF), the fluid that surrounds and protects the brain and spinal cord, builds up inside the brain. This can increase pressure on the brain and cause a variety of symptoms.
Hydrocephalus can develop in children or adults and may occur for different reasons.

What Causes Hydrocephalus
Hydrocephalus occurs when the normal flow or absorption of CSF is blocked or disrupted. Common causes include:
Congenital causes – present at birth due to developmental abnormalities
Bleeding in the brain – such as from trauma, subarachnoid haemorrhage, or intraventricular haemorrhage in newborns
Infections – such as meningitis
Tumours or cysts – that block the flow of CSF
Normal pressure hydrocephalus (NPH) – usually in older adults, where fluid accumulates slowly
How Is Hydrocephalus Diagnosed?
Symptoms can vary depending on age and the speed of fluid buildup:
In infants and children:
Enlarged head size or bulging fontanelle
Vomiting or poor feeding
Sleepiness or irritability
Developmental delays
In adults:
Headaches
Nausea or vomiting
Balance problems or difficulty walking
Urinary incontinence
Cognitive difficulties or memory problems
Investigations:
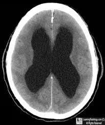
CT scan or MRI scan of the brain to see fluid buildup
How is Hydrocephalus Treated?
Treatment aims to reduce pressure on the brain and restore normal CSF flow. Options include:
Ventriculoperitoneal (VP) shunt – A tube (shunt) is placed in the brain to drain excess fluid into the abdomen
Endoscopic third ventriculostomy (ETV) – A small hole is made in the floor of the brain’s ventricles to allow fluid to bypass the blockage
The choice of treatment depends on the patient’s age, cause of hydrocephalus, and overall health.
What is the outlook?
With early diagnosis and treatment, many patients experience good improvement.
Long-term outcomes depend on:
The underlying cause of hydrocephalus
How quickly treatment is given
Any associated brain injury or complications
Ongoing monitoring and follow-up with the neurosurgery team are essential to ensure shunts or procedures continue to work properly.
An extradural haematoma is a collection of blood that forms between the skull and the outer covering of the brain, called the dura. This space normally does not exist, but bleeding after a head injury can cause it to open and fill with blood.